الترميمات السنية التجميلية ، الترميمات السنية التجميلية أصبحت اليوم الحل المثالي لكل من يبحث عن ابتسامة متناسقة وصحية في نفس الوقت، دون اللجوء إلى إجراءات جراحية معقدة. فهي تجمع بين العلاج الوظيفي للأسنان وتحسين المظهر الجمالي، سواء من حيث اللون أو الشكل أو التناسق العام للابتسامة.
في مركز سمايل لينك نوفّر أحدث تقنيات الترميمات السنية التجميلية التي تساعد على إصلاح الأسنان المتضررة، إخفاء العيوب، واستعادة الثقة في الابتسامة، باستخدام خامات عالية الجودة وتقنيات حديثة تضمن نتائج طبيعية وطويلة الأمد، مع الحفاظ الكامل على صحة الأسنان واللثة.
سواء كنت تعاني من كسر في الأسنان، تصبغات، فراغات، أو تآكل ناتج عن التسوس أو العادات اليومية، فإن الترميمات السنية التجميلية في مركز سمايل لينك تمنحك حلاً متكاملًا يجمع بين الدقة الطبية واللمسة الجمالية.
محتويات المقال
- 1 الترميمات السنية التجميلية
- 1.1 ما هي الترميمات السنية التجميلية؟
- 1.2 أهمية الترميمات السنية التجميلية لصحة الفم والابتسامة
- 1.3 أنواع الترميمات السنية التجميلية المستخدمة في علاج الأسنان
- 1.4 الحشوات التجميلية للأسنان ومتى يتم استخدامها
- 1.5 تيجان الأسنان التجميلية ودورها في تقوية وحماية الأسنان
- 1.6 القشور الخزفية (الفينير) لتحسين شكل ولون الأسنان
- 1.7 الفرق بين الترميمات السنية التجميلية والعلاجية
- 1.8 خطوات إجراء الترميمات السنية التجميلية داخل مركز سمايل لينك
- 1.9 أحدث التقنيات المستخدمة في الترميمات السنية التجميلية
- 1.10 مميزات الترميمات السنية التجميلية مقارنة بالحلول التقليدية
- 1.11 هل الترميمات السنية التجميلية آمنة؟
- 1.12 مدة بقاء الترميمات السنية التجميلية وكيفية الحفاظ عليها
- 1.13 العناية بالأسنان بعد الترميمات السنية التجميلية
- 1.14 الحالات التي لا تناسبها الترميمات السنية التجميلية
- 1.15 دور الطبيب المتخصص في نجاح الترميمات السنية التجميلية
- 1.16 لماذا يُعد مركز سمايل لينك من أفضل مراكز الترميمات السنية التجميلية؟
- 1.17 متى تحتاج إلى ترميمات سنية تجميلية؟
- 1.18 (خاتمة)
- 1.19 أسئلة شائعة
- 1.20 للتواصل:
الترميمات السنية التجميلية
الترميمات السنية التجميلية تُعد من أهم فروع طب الأسنان الحديثة، حيث تجمع بين العلاج الطبي الدقيق وتحسين المظهر الجمالي للأسنان في الوقت نفسه. يهدف هذا النوع من العلاجات إلى إصلاح الأسنان المتضررة نتيجة التسوس أو الكسور أو التآكل، مع إعادة تشكيلها وتلوينها بشكل يتناسق مع باقي الأسنان ليمنح المريض ابتسامة طبيعية وصحية. وتعتمد الترميمات السنية التجميلية على استخدام مواد متطورة تحاكي الأسنان الطبيعية من حيث القوة واللون والملمس، مما يجعلها خيارًا مثاليًا للأشخاص الذين يهتمون بجمال ابتسامتهم دون التأثير على وظيفة الأسنان.
كما تُسهم هذه الترميمات في حماية الأسنان من التلف المستقبلي، وتحسين القدرة على المضغ والنطق، إلى جانب تعزيز الثقة بالنفس والمظهر العام. ومع التطور الكبير في تقنيات طب الأسنان، أصبحت الترميمات السنية التجميلية إجراءات آمنة وفعّالة تناسب مختلف الحالات، خاصة عند تنفيذها على يد طبيب متخصص ووفق خطة علاجية دقيقة تراعي صحة الفم واللثة واحتياجات كل مريض.

ما هي الترميمات السنية التجميلية؟
الترميمات السنية التجميلية هي مجموعة من الإجراءات الطبية المتطورة التي تهدف إلى إعادة بناء الأسنان المتضررة أو تحسين مظهرها الخارجي مع الحفاظ على وظيفتها الأساسية. ويشمل هذا النوع من العلاجات إصلاح الأسنان التي تعرّضت للتسوس، الكسور، التآكل، أو التشوهات الخَلقية، باستخدام مواد حديثة تحاكي شكل الأسنان الطبيعية من حيث اللون والملمس والصلابة.
تكمن أهمية الترميمات السنية التجميلية في أنها لا تركز فقط على علاج المشكلة الصحية، بل تمتد لتحسين الابتسامة بشكل عام، مما ينعكس بشكل مباشر على ثقة المريض بنفسه ومظهره الاجتماعي. فالكثير من الأشخاص يعانون من مشاكل بسيطة في الأسنان مثل تصبغات أو شقوق صغيرة، لكنها تؤثر بشكل كبير على مظهر الابتسامة، وهنا يأتي دور الترميمات التجميلية كحل مثالي وآمن.
تتنوع الترميمات السنية التجميلية بين الحشوات التجميلية، التيجان، القشور الخزفية، والترميمات الجزئية أو الكاملة، ويتم اختيار النوع المناسب بناءً على حالة كل مريض بعد الفحص والتشخيص الدقيق. وتُصمم هذه الترميمات بحيث تتماشى مع شكل الوجه وتناسق الأسنان، دون أن يشعر المريض بوجود جسم غريب داخل الفم.
في مركز سمايل لينك، يتم التعامل مع الترميمات السنية التجميلية كجزء من خطة علاج متكاملة، تجمع بين التشخيص الدقيق، اختيار الخامات المناسبة، والتنفيذ بأعلى درجات الدقة. الهدف الأساسي هو الحصول على نتيجة طبيعية تدوم طويلًا، مع الحفاظ على صحة اللثة والأسنان المحيطة، وهو ما يجعل الترميمات السنية التجميلية خيارًا مثاليًا لكل من يسعى إلى ابتسامة صحية وجذابة في آنٍ واحد.
اقرا ايضا : هل تقويم الأسنان للكبار فعّال؟
أهمية الترميمات السنية التجميلية لصحة الفم والابتسامة
تلعب الترميمات السنية التجميلية دورًا محوريًا في الحفاظ على صحة الفم وتحسين جودة الحياة اليومية، حيث لا يقتصر دورها على الجانب الجمالي فقط، بل تمتد فوائدها لتشمل الوظيفة الصحية للأسنان واللثة. فعند وجود تسوس أو كسر في الأسنان دون علاج، قد تتفاقم المشكلة وتؤدي إلى التهابات، آلام مزمنة، أو فقدان السن بالكامل.
من الناحية الصحية، تساعد الترميمات السنية التجميلية على حماية بنية السن من التلف المستمر، وتمنع وصول البكتيريا إلى الأنسجة الداخلية. كما تُعيد للأسنان قدرتها الطبيعية على المضغ والنطق بشكل سليم، وهو أمر أساسي للحفاظ على صحة الجهاز الهضمي وجودة النطق.
أما من الناحية الجمالية، فإن الترميمات التجميلية تسهم في تحسين شكل الابتسامة بشكل ملحوظ، من خلال توحيد لون الأسنان، إصلاح الكسور، وسد الفراغات غير المرغوبة. الابتسامة المتناسقة لا تعكس فقط مظهرًا صحيًا، بل تؤثر أيضًا على الحالة النفسية للمريض وثقته بنفسه في التعاملات الاجتماعية والمهنية.
تكمن أهمية هذه الترميمات أيضًا في دورها الوقائي، حيث إن علاج المشكلات البسيطة في وقت مبكر يمنع تطورها إلى مشاكل أكبر تتطلب تدخلات أكثر تعقيدًا وتكلفة. ولهذا يُنصح دائمًا بعدم إهمال أي خلل في الأسنان، حتى وإن بدا بسيطًا.
في مركز سمايل لينك، يتم التركيز على تقديم ترميمات سنية تجميلية تحقق التوازن بين الصحة والجمال، مع الالتزام بأعلى معايير الجودة والتعقيم. ويتم تصميم خطة العلاج لكل مريض بشكل فردي، لضمان الحصول على أفضل النتائج التي تحافظ على صحة الفم وتمنح ابتسامة طبيعية تدوم لسنوات طويلة.

أنواع الترميمات السنية التجميلية المستخدمة في علاج الأسنان
تتعدد أنواع الترميمات السنية التجميلية، ويعتمد اختيار النوع المناسب على حالة السن، درجة التلف، واحتياجات المريض الجمالية والوظيفية. ويهدف هذا التنوع إلى توفير حلول شاملة تناسب مختلف المشكلات السنية.
من أبرز الأنواع الحشوات التجميلية، والتي تُستخدم لعلاج التسوس أو الكسور البسيطة، وتتميّز بلونها القريب من لون الأسنان الطبيعي، مما يجعلها غير ملحوظة. وتُعد خيارًا مثاليًا للحفاظ على المظهر الجمالي للأسنان الأمامية والخلفية.
أما التيجان التجميلية، فهي تُستخدم في الحالات التي يكون فيها السن ضعيفًا أو مكسورًا بدرجة كبيرة، حيث تغطي السن بالكامل وتمنحه قوة إضافية وشكلًا طبيعيًا. وتُصنع التيجان من مواد عالية الجودة مثل الزيركون أو البورسلين، لضمان المتانة والمظهر الجمالي في آنٍ واحد.
القشور الخزفية أو الفينير تُعد من أكثر الحلول شيوعًا لتحسين شكل الابتسامة، حيث تُستخدم لتعديل لون الأسنان، إخفاء التشققات، أو تصحيح عدم انتظام بسيط في الشكل. وتتميز بنتائجها السريعة ومظهرها الطبيعي.
كما تشمل الترميمات السنية التجميلية الترميمات الجزئية أو الكاملة، والتي تُستخدم في حالات فقدان جزء من السن أو أكثر، ويتم تصميمها بدقة لتتناسب مع باقي الأسنان من حيث اللون والحجم.
في مركز سمايل لينك، يتم اختيار نوع الترميم بعناية بعد فحص شامل وتشخيص دقيق، مع مراعاة رغبة المريض والحالة الصحية للأسنان واللثة. هذا التنوع في الخيارات يضمن تقديم حل مثالي لكل حالة، مع تحقيق أعلى درجات الراحة والجمال للمريض.
الحشوات التجميلية للأسنان ومتى يتم استخدامها
تُعد الحشوات التجميلية من أكثر أنواع الترميمات السنية شيوعًا واستخدامًا، نظرًا لقدرتها على الجمع بين العلاج الفعّال والمظهر الجمالي الطبيعي. تُستخدم هذه الحشوات بشكل أساسي لعلاج تسوس الأسنان، الكسور البسيطة، أو الفجوات الناتجة عن تآكل جزء من بنية السن، مع الحفاظ على الشكل واللون الطبيعي للأسنان.
تتميّز الحشوات التجميلية بأنها مصنوعة من مواد متطورة بلون الأسنان، مثل الكومبوزيت، مما يجعلها غير ملحوظة بعد التركيب، على عكس الحشوات التقليدية المعدنية. وهذا ما يجعلها الخيار الأمثل للأسنان الأمامية والخلفية على حد سواء، خاصة للأشخاص الذين يهتمون بالمظهر الجمالي لابتسامتهم.
يتم استخدام الحشوات التجميلية في حالات التسوس المبكر أو المتوسط، حيث يمكن إزالة الجزء التالف من السن وتعويضه بالحشوة دون الحاجة إلى برد كبير أو تدخلات معقدة. كما تُستخدم أيضًا لإصلاح الشقوق البسيطة أو الكسور الناتجة عن الصدمات أو الضغط الزائد أثناء المضغ.
من أهم مميزات الحشوات التجميلية أنها تحافظ على أكبر قدر ممكن من نسيج السن الطبيعي، وتُصمم بدقة لتتناسب مع شكل السن الأصلي، مما يضمن راحة المريض وعدم الشعور بأي فرق أثناء الأكل أو الكلام. كما أنها تساعد على منع تطور التسوس مرة أخرى عند العناية الجيدة بالأسنان.
في مركز سمايل لينك، يتم استخدام أحدث أنواع الحشوات التجميلية عالية الجودة، مع الاعتماد على تقنيات دقيقة تضمن التصاق الحشوة بالسن بشكل مثالي. ويتم اختيار نوع الحشوة المناسب لكل حالة بعد فحص شامل، لضمان الحصول على نتيجة طبيعية تدوم طويلًا وتحافظ على صحة الأسنان.

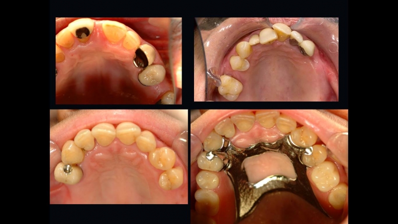
تيجان الأسنان التجميلية ودورها في تقوية وحماية الأسنان
تيجان الأسنان التجميلية تُعد من الحلول المتقدمة في عالم الترميمات السنية، وتُستخدم في الحالات التي يكون فيها السن ضعيفًا أو متضررًا بدرجة لا تسمح بالاكتفاء بالحشوات التجميلية فقط. ويُقصد بتاج الأسنان الغطاء الذي يتم تركيبه فوق السن بالكامل، ليمنحه قوة إضافية وشكلًا طبيعيًا.
تُستخدم التيجان التجميلية في حالات التسوس العميق، الكسور الكبيرة، بعد علاج جذور الأسنان، أو عندما يكون السن معرّضًا للكسر نتيجة ضعف بنيته. كما تُعد خيارًا مثاليًا لتحسين شكل الأسنان المشوهة أو المتغيرة اللون بشكل لا يمكن علاجه بالطرق التقليدية.
من الناحية الجمالية، تُصنع التيجان من مواد متطورة مثل البورسلين أو الزيركون، والتي تحاكي الأسنان الطبيعية من حيث اللون والشفافية، مما يجعلها تبدو كأنها جزء أصلي من الفم. أما من الناحية الوظيفية، فهي تعيد للأسنان قدرتها على تحمل الضغط أثناء المضغ، وتحميها من التلف المستقبلي.
تركيب التيجان التجميلية لا يهدف فقط إلى تحسين الشكل، بل يُعد إجراءً وقائيًا يحافظ على السن لفترة أطول، ويمنع الحاجة إلى خلع الأسنان في المستقبل. كما تساعد التيجان على استعادة التوازن في الفم وتحسين النطق في بعض الحالات.
في مركز سمايل لينك، يتم تصميم تيجان الأسنان التجميلية بعناية فائقة باستخدام تقنيات حديثة، لضمان الدقة في المقاس والشكل. ويحرص الفريق الطبي على اختيار المادة الأنسب لكل حالة، مع مراعاة صحة اللثة والأسنان المجاورة، لضمان نتيجة مثالية تجمع بين القوة والجمال.
القشور الخزفية (الفينير) لتحسين شكل ولون الأسنان
القشور الخزفية، أو ما يُعرف بالفينير، تُعد من أكثر الحلول التجميلية شيوعًا لتحسين الابتسامة بشكل سريع وفعّال. وهي عبارة عن طبقات رقيقة من الخزف تُلصق على السطح الأمامي للأسنان، بهدف تحسين لونها وشكلها وإخفاء العيوب الظاهرة.
يُستخدم الفينير في حالات تصبغات الأسنان التي لا تستجيب لعمليات التبييض، وكذلك لإخفاء الشقوق البسيطة، الفراغات بين الأسنان، أو عدم انتظام طفيف في شكل الأسنان. ويُعد خيارًا مثاليًا للأشخاص الذين يرغبون في الحصول على ابتسامة متناسقة دون تدخلات جراحية معقدة.
من أهم مميزات القشور الخزفية أنها تعطي مظهرًا طبيعيًا للغاية، حيث تُصمم لتتناسب مع لون الأسنان وشكل الوجه، كما أنها مقاومة للتصبغات وتدوم لفترات طويلة عند العناية الجيدة بها. بالإضافة إلى ذلك، فإن الإجراء غالبًا ما يتم خلال عدد محدود من الزيارات، مما يجعله حلًا سريعًا وفعّالًا.
رغم مميزاته العديدة، يتطلب الفينير تقييمًا دقيقًا للحالة، حيث لا يُنصح به في بعض الحالات مثل ضعف بنية الأسنان الشديد أو وجود مشاكل في اللثة. لذلك، يُعد الفحص والتشخيص الدقيق خطوة أساسية قبل اتخاذ القرار.
في مركز سمايل لينك، يتم تنفيذ القشور الخزفية وفق أعلى المعايير الطبية والتجميلية، مع استخدام خامات عالية الجودة تضمن المتانة والمظهر الطبيعي. ويحرص الأطباء على تصميم ابتسامة متناسقة تناسب ملامح الوجه، وتمنح المريض ثقة حقيقية في ابتسامته.

الفرق بين الترميمات السنية التجميلية والعلاجية
يخلط الكثير من المرضى بين الترميمات السنية التجميلية والترميمات العلاجية، رغم أن لكل منهما هدفًا مختلفًا وإن كانا يلتقيان في بعض النقاط. الترميمات العلاجية يكون هدفها الأساسي هو علاج المشكلة الصحية للأسنان، مثل إزالة التسوس، علاج الالتهابات، أو حماية السن من التلف، دون التركيز الكبير على الشكل النهائي. أما الترميمات السنية التجميلية فتركّز على الجمع بين العلاج وتحسين المظهر العام للأسنان والابتسامة في آنٍ واحد.
في الترميمات العلاجية التقليدية، قد يتم استخدام مواد قوية وفعّالة من الناحية الطبية، لكنها لا تعطي دائمًا مظهرًا طبيعيًا، مثل بعض أنواع الحشوات القديمة. بينما تعتمد الترميمات السنية التجميلية على مواد متطورة تحاكي لون الأسنان الطبيعي وشكلها، مع الحفاظ على نفس الكفاءة العلاجية أو أفضل.
الفرق الأساسي يكمن أيضًا في التخطيط. ففي الترميمات التجميلية يتم أخذ تناسق الأسنان، شكل الوجه، خط الابتسامة، ولون الأسنان المجاورة في الاعتبار، وليس فقط علاج السن المصاب. وهذا ما يجعل النتيجة النهائية أكثر انسجامًا وطبيعية.
كما أن الترميمات التجميلية غالبًا ما تهدف إلى تحسين جودة الحياة النفسية والاجتماعية للمريض، حيث تؤثر الابتسامة الجميلة بشكل مباشر على الثقة بالنفس والتواصل مع الآخرين. بينما تركز الترميمات العلاجية بشكل أكبر على إزالة الألم ومنع تطور المشكلة.
في الواقع، لا يمكن الفصل التام بين النوعين، حيث تعتمد أفضل النتائج على الدمج بين العلاج السليم واللمسة الجمالية. وهذا هو النهج الذي يتم اتباعه داخل مركز سمايل لينك، حيث يتم تقديم حلول متكاملة تعالج السبب الأساسي للمشكلة، وتُحسّن شكل الابتسامة في نفس الوقت، لضمان صحة الفم وجماله على المدى الطويل.
خطوات إجراء الترميمات السنية التجميلية داخل مركز سمايل لينك
تمر الترميمات السنية التجميلية بعدة خطوات مدروسة بعناية لضمان تحقيق أفضل النتائج الممكنة، سواء من الناحية الصحية أو الجمالية. تبدأ الخطوة الأولى بالفحص الشامل للأسنان واللثة، حيث يقوم الطبيب بتقييم الحالة العامة للفم، وتحديد المشكلات الموجودة، سواء كانت تسوسًا، كسورًا، تصبغات، أو مشاكل في شكل الأسنان.
بعد ذلك تأتي مرحلة التشخيص ووضع خطة العلاج، وهي من أهم المراحل، حيث يتم تحديد نوع الترميم المناسب لكل حالة، مع شرح الخيارات المتاحة للمريض، ومساعدته على اتخاذ القرار الأنسب بناءً على احتياجاته وتوقعاته. في هذه المرحلة يتم مراعاة عوامل مثل عمر المريض، حالة اللثة، قوة الأسنان، والمظهر الجمالي المطلوب.
الخطوة التالية هي تحضير السن، والتي تختلف حسب نوع الترميم. فقد تشمل إزالة التسوس، تنظيف السن، أو تحضيره لاستقبال الترميم التجميلي. يتم تنفيذ هذه الخطوة بدقة عالية مع الحرص على الحفاظ على أكبر قدر ممكن من نسيج السن الطبيعي.
بعد التحضير، يتم تركيب الترميم التجميلي سواء كان حشوة، تاجًا، أو قشرة خزفية، باستخدام تقنيات دقيقة تضمن الثبات والمظهر الطبيعي. ويحرص الطبيب على ضبط اللون والشكل ليكونا متناسقين مع باقي الأسنان.
تنتهي الخطوات بمرحلة المتابعة والتقييم، حيث يتم التأكد من راحة المريض، سلامة الإطباق، وثبات الترميم. كما يتم تقديم إرشادات واضحة للعناية بالأسنان بعد الإجراء. هذا النظام المتكامل في مركز سمايل لينك يضمن نتائج آمنة، طبيعية، وطويلة الأمد.

أحدث التقنيات المستخدمة في الترميمات السنية التجميلية
شهد مجال الترميمات السنية التجميلية تطورًا كبيرًا بفضل التقدم التكنولوجي في طب الأسنان، مما ساهم في تحسين جودة النتائج وتقليل مدة العلاج وزيادة راحة المرضى. تعتمد التقنيات الحديثة على الدقة العالية والتخطيط المسبق للحصول على نتائج أقرب ما تكون للأسنان الطبيعية.
من أبرز هذه التقنيات استخدام المواد التجميلية المتطورة التي تتميز بالقوة والمتانة إلى جانب المظهر الجمالي، مثل المواد الخزفية عالية الجودة. هذه المواد أصبحت أكثر مقاومة للتصبغات والتآكل، مما يجعل الترميمات تدوم لفترات أطول مع الحفاظ على شكلها ولونها.
كما ساهمت الأجهزة الحديثة في تحسين دقة التشخيص، حيث تُمكّن الطبيب من اكتشاف المشكلات في مراحلها المبكرة، ووضع خطة علاج دقيقة تقلل من التدخلات غير الضرورية. هذا ينعكس بشكل مباشر على راحة المريض وسرعة التعافي.
التقنيات الحديثة ساعدت أيضًا في تحسين دقة تركيب الترميمات، بحيث يتم تصميمها لتتناسب تمامًا مع شكل السن الطبيعي، مما يقلل من احتمالية الشعور بعدم الراحة أو الحاجة إلى تعديلات لاحقة. بالإضافة إلى ذلك، أصبح التركيز أكبر على الإجراءات الأقل تدخلًا، والتي تحافظ على بنية الأسنان الطبيعية قدر الإمكان.
في مركز سمايل لينك، يتم الاعتماد على أحدث التقنيات العالمية في مجال الترميمات السنية التجميلية، مع تحديث مستمر للأجهزة والمواد المستخدمة. هذا الاهتمام بالتكنولوجيا يضمن تقديم مستوى عالٍ من الجودة، ونتائج تجميلية متميزة تلبي تطلعات المرضى وتمنحهم ابتسامة صحية وجذابة.
مميزات الترميمات السنية التجميلية مقارنة بالحلول التقليدية
تتميّز الترميمات السنية التجميلية بعدد كبير من الفوائد التي تجعلها خيارًا متقدمًا مقارنة بالحلول التقليدية التي كانت تُستخدم في الماضي لعلاج مشكلات الأسنان. ففي الوقت الذي كانت تركز فيه الحلول التقليدية على علاج المشكلة الصحية فقط، جاءت الترميمات التجميلية لتجمع بين العلاج الوظيفي والمظهر الجمالي في آنٍ واحد.
أحد أبرز المميزات هو المظهر الطبيعي للأسنان بعد الترميم، حيث تُصنع المواد التجميلية لتتطابق مع لون الأسنان وشكلها، مما يجعل الترميم غير ملحوظ تقريبًا. على عكس بعض الحشوات أو الترميمات التقليدية التي كانت تُظهر اختلافًا واضحًا في اللون أو الشكل، خاصة عند الابتسام أو التحدث.
كما تتميز الترميمات السنية التجميلية بأنها أكثر حفاظًا على نسيج السن الطبيعي، حيث تعتمد على تقنيات دقيقة تقلل من كمية البرد أو الإزالة غير الضرورية للسن. وهذا يُسهم في الحفاظ على قوة السن لفترة أطول، ويقلل من احتمالية حدوث مشكلات مستقبلية.
من ناحية أخرى، توفر الترميمات التجميلية راحة أكبر للمريض، سواء أثناء الإجراء أو بعده، حيث يتم تصميمها بدقة لتناسب الفم دون التسبب في تهيّج اللثة أو الشعور بعدم الارتياح. كما أنها تُسهم في تحسين وظيفة المضغ والنطق بشكل أفضل مقارنة ببعض الحلول التقليدية.
إضافة إلى ذلك، فإن الترميمات التجميلية تُعد استثمارًا طويل الأمد في صحة الفم، حيث تدوم لفترات أطول عند العناية الجيدة بها، وتقلل من الحاجة إلى إعادة العلاج بشكل متكرر. ولهذا أصبحت الخيار المفضل لدى الكثير من المرضى الذين يبحثون عن حل فعّال، مريح، وجمالي في نفس الوقت.

هل الترميمات السنية التجميلية آمنة؟
يُعد عامل الأمان من أكثر الأمور التي تشغل بال المرضى عند التفكير في أي إجراء تجميلي، وبالنسبة للترميمات السنية التجميلية فهي تُعد من الإجراءات الآمنة جدًا عند تنفيذها بشكل صحيح وعلى يد طبيب متخصص. تعتمد هذه الإجراءات على مواد طبية معتمدة وتقنيات حديثة تم تطويرها خصيصًا لتكون متوافقة مع أنسجة الفم والأسنان.
تخضع المواد المستخدمة في الترميمات التجميلية لاختبارات دقيقة لضمان جودتها وسلامتها، وهي مصممة لتكون غير سامة ولا تسبب تفاعلات سلبية مع اللثة أو الأسنان. كما أن التقنيات الحديثة تقلل من التدخل الجراحي، مما يحد من الألم ويُسرّع من التعافي.
تعتمد درجة الأمان أيضًا على التشخيص السليم ووضع خطة علاج مناسبة لكل حالة. فليس كل نوع من الترميمات مناسبًا لجميع المرضى، ولهذا يلعب الفحص الدقيق دورًا أساسيًا في اختيار الحل الآمن والفعّال. وعند الالتزام بتعليمات الطبيب قبل وبعد الإجراء، تقل احتمالية حدوث أي مضاعفات.
كما أن الترميمات السنية التجميلية لا تؤثر سلبًا على وظيفة الأسنان، بل على العكس، فهي غالبًا ما تُحسّن من القدرة على المضغ والنطق، وتحمي الأسنان من التلف المستقبلي. وتُعد المتابعة الدورية جزءًا مهمًا من ضمان سلامة الترميمات واستمراريتها.
بشكل عام، يمكن القول إن الترميمات السنية التجميلية إجراء آمن وموثوق، خاصة عند إجرائها في مركز طبي متخصص يعتمد على معايير عالية للجودة والتعقيم، ويحرص على راحة وسلامة المريض في جميع مراحل العلاج.
مدة بقاء الترميمات السنية التجميلية وكيفية الحفاظ عليها
تختلف مدة بقاء الترميمات السنية التجميلية من شخص لآخر، وذلك حسب نوع الترميم المستخدم، جودة المواد، مهارة الطبيب، ومدى التزام المريض بالعناية اليومية بالأسنان. ومع ذلك، فإن معظم الترميمات التجميلية الحديثة مصممة لتدوم لسنوات طويلة عند الاهتمام بها بالشكل الصحيح.
الحشوات التجميلية قد تدوم لعدة سنوات، بينما التيجان والقشور الخزفية يمكن أن تستمر لفترات أطول، خاصة عند الحفاظ على نظافة الفم وتجنب العادات الضارة مثل قضم الأظافر أو فتح الأشياء الصلبة بالأسنان. كما أن الالتزام بزيارات المتابعة الدورية يساعد على اكتشاف أي مشكلة في وقت مبكر ومعالجتها قبل أن تتفاقم.
تلعب العناية اليومية دورًا أساسيًا في الحفاظ على الترميمات السنية التجميلية، ويشمل ذلك تنظيف الأسنان بالفرشاة مرتين يوميًا باستخدام معجون مناسب، واستعمال خيط الأسنان لإزالة بقايا الطعام بين الأسنان. كما يُنصح بتقليل تناول الأطعمة والمشروبات التي تسبب تصبغات، خاصة في حالة الترميمات التجميلية الأمامية.
من المهم أيضًا اتباع تعليمات الطبيب الخاصة بكل نوع من الترميمات، حيث قد تختلف طرق العناية من حالة لأخرى. وفي حال الشعور بأي تغيير أو عدم راحة، يُفضّل مراجعة الطبيب فورًا للتأكد من سلامة الترميم.
عند الالتزام بهذه الإرشادات، يمكن للترميمات السنية التجميلية أن تحافظ على مظهرها الجمالي ووظيفتها لفترة طويلة، مما يجعلها حلًا فعّالًا ومستدامًا للحفاظ على ابتسامة صحية وجذابة.
العناية بالأسنان بعد الترميمات السنية التجميلية
تُعد العناية بالأسنان بعد الترميمات السنية التجميلية خطوة أساسية للحفاظ على النتائج الجمالية وضمان استمرار الترميمات لأطول فترة ممكنة. فنجاح الإجراء لا يعتمد فقط على جودة المواد أو مهارة الطبيب، بل يرتبط بشكل كبير بالتزام المريض بتعليمات العناية اليومية والمتابعة الدورية.
أولى خطوات العناية تبدأ بالاهتمام بنظافة الفم، حيث يُنصح بتنظيف الأسنان مرتين يوميًا باستخدام فرشاة ناعمة ومعجون مناسب، مع الحرص على تنظيف جميع الأسطح بلطف لتجنب تهيّج اللثة أو التأثير على الترميمات. كما يُعد استخدام خيط الأسنان أو الغسول الفموي خطوة مكملة لإزالة بقايا الطعام من المناطق التي يصعب الوصول إليها.
من المهم أيضًا الانتباه إلى النظام الغذائي بعد الترميمات السنية التجميلية، خاصة في الأيام الأولى بعد الإجراء. يُفضّل تجنب الأطعمة الصلبة جدًا أو اللزجة، والابتعاد عن العادات الخاطئة مثل قضم الأقلام أو فتح الأشياء بالأسنان، حيث يمكن أن تؤثر هذه السلوكيات على ثبات الترميمات.
كما يُنصح بتقليل استهلاك المشروبات التي تسبب تصبغات مثل القهوة والشاي، خاصة في حالة القشور الخزفية أو الحشوات التجميلية الأمامية، للحفاظ على لون الأسنان لفترة أطول. وتُعد زيارات المتابعة الدورية للطبيب جزءًا لا يتجزأ من العناية، حيث تساعد على اكتشاف أي مشكلة مبكرًا ومعالجتها قبل أن تتفاقم.
الالتزام بهذه الإرشادات يضمن بقاء الترميمات السنية التجميلية بحالة ممتازة، ويحافظ على صحة الفم واللثة، مما ينعكس بشكل مباشر على جمال الابتسامة وثقة المريض بنفسه.

الحالات التي لا تناسبها الترميمات السنية التجميلية
رغم أن الترميمات السنية التجميلية تُعد حلًا فعالًا ومناسبًا لكثير من الحالات، إلا أنها ليست الخيار الأمثل للجميع. فهناك بعض الحالات التي تتطلب علاجًا طبيًا أو تدخلًا مختلفًا قبل التفكير في الإجراءات التجميلية.
من أبرز هذه الحالات وجود التهابات حادة في اللثة أو أمراض مزمنة غير مُعالجة، حيث يجب السيطرة على المشكلة الصحية أولًا قبل البدء بأي إجراء تجميلي. كما أن التسوس العميق أو ضعف بنية السن الشديد قد يتطلب علاجات متقدمة مثل علاج الجذور أو إجراءات داعمة قبل التفكير في الترميمات التجميلية.
كذلك، لا يُنصح بالترميمات التجميلية في بعض الحالات التي يعاني فيها المريض من صرير الأسنان الشديد أو العادات التي تسبب ضغطًا زائدًا على الأسنان، إلا بعد علاج هذه المشكلة أو استخدام وسائل وقائية مناسبة. فاستمرار هذه العادات قد يؤثر سلبًا على الترميمات ويقلل من عمرها الافتراضي.
كما أن بعض المرضى قد تكون لديهم توقعات غير واقعية بشأن النتائج، وهنا يأتي دور الطبيب في توضيح ما يمكن تحقيقه فعليًا، واختيار الحل الأنسب الذي يوازن بين الصحة والجمال. التقييم الدقيق للحالة يُعد خطوة أساسية لتجنب أي مضاعفات أو نتائج غير مرضية.
لهذا السبب، يُعد الفحص الشامل والتشخيص الدقيق أساس نجاح أي إجراء تجميلي، حيث يساعد على تحديد ما إذا كانت الترميمات السنية التجميلية هي الخيار المناسب، أو إذا كانت هناك بدائل أخرى أكثر أمانًا وفعالية.
دور الطبيب المتخصص في نجاح الترميمات السنية التجميلية
يلعب الطبيب المتخصص دورًا محوريًا في نجاح الترميمات السنية التجميلية، حيث لا يقتصر الأمر على تنفيذ الإجراء فقط، بل يبدأ من التشخيص الدقيق وينتهي بمتابعة النتائج على المدى الطويل. فاختيار الطبيب المناسب يُعد أحد أهم عوامل الحصول على نتيجة طبيعية وآمنة.
يقوم الطبيب بتقييم شامل لحالة الأسنان واللثة، ودراسة تفاصيل الابتسامة وتناسقها مع ملامح الوجه، قبل اقتراح نوع الترميم المناسب. هذه الخبرة تساعد على اختيار الخامات الأنسب، وتحديد الخطة العلاجية التي تحقق أفضل توازن بين الجانب الصحي والجمالي.
كما أن مهارة الطبيب في تنفيذ الإجراء تؤثر بشكل مباشر على دقة التركيب وثبات الترميمات، مما يقلل من احتمالية حدوث مشكلات مستقبلية. ويحرص الطبيب المتخصص على استخدام أحدث التقنيات والمواد، مع الالتزام بأعلى معايير التعقيم والسلامة.
إلى جانب ذلك، يُعد التواصل الجيد مع المريض جزءًا مهمًا من دور الطبيب، حيث يتم شرح خطوات العلاج، توضيح التوقعات الواقعية، وتقديم الإرشادات اللازمة للعناية بعد الإجراء. هذا التواصل يُسهم في زيادة رضا المريض وثقته في العلاج.
بفضل هذا الدور المتكامل، تصبح الترميمات السنية التجميلية إجراءً ناجحًا وآمنًا، يمنح المريض ابتسامة صحية وجذابة تدوم لسنوات طويلة.

لماذا يُعد مركز سمايل لينك من أفضل مراكز الترميمات السنية التجميلية؟
يتميّز مركز سمايل لينك بتقديم خدمات متكاملة في مجال الترميمات السنية التجميلية، تجمع بين الخبرة الطبية والاهتمام بأدق التفاصيل الجمالية. يعتمد المركز على فريق طبي متخصص، يمتلك خبرة واسعة في التعامل مع مختلف الحالات، مع الحرص على تقديم حلول تناسب احتياجات كل مريض.
يستخدم المركز أحدث التقنيات والمواد عالية الجودة، لضمان نتائج طبيعية وآمنة تدوم طويلًا. كما يتم الالتزام بمعايير صارمة للتعقيم والجودة، مما يوفر بيئة علاجية مريحة وآمنة للمرضى.
يهتم مركز سمايل لينك بوضع خطة علاج فردية لكل مريض، تبدأ بالتشخيص الدقيق وتنتهي بالمتابعة المستمرة، لضمان تحقيق أفضل النتائج الممكنة. هذا الاهتمام بالتفاصيل يجعل تجربة العلاج أكثر راحة واطمئنانًا.
إضافة إلى ذلك، يحرص المركز على توفير تجربة علاجية متكاملة، تجمع بين الاحترافية والاهتمام براحة المريض، مع تقديم استشارات واضحة ومتابعة دورية. كل هذه العوامل تجعل مركز سمايل لينك خيارًا مثاليًا للراغبين في الحصول على ترميمات سنية تجميلية عالية الجودة.
متى تحتاج إلى ترميمات سنية تجميلية؟
تُعد الترميمات السنية التجميلية خيارًا مناسبًا عند وجود مشكلات تؤثر على شكل الأسنان أو وظيفتها، مثل التسوس، الكسور، التصبغات، أو الفراغات غير المرغوبة. كما قد يحتاج إليها الأشخاص الذين يرغبون في تحسين مظهر ابتسامتهم واستعادة ثقتهم بأنفسهم.
إذا كنت تعاني من ألم متكرر في الأسنان، أو تشعر بعدم الراحة أثناء المضغ، أو تلاحظ تغيرًا في شكل أو لون أسنانك، فقد تكون الترميمات السنية التجميلية الحل الأمثل. التشخيص المبكر يساعد على اختيار الإجراء المناسب وتجنب تفاقم المشكلة.
كما أن الرغبة في تحسين المظهر الجمالي للأسنان، سواء لأسباب اجتماعية أو مهنية، تُعد سببًا شائعًا للجوء إلى الترميمات التجميلية. فالابتسامة الجميلة تلعب دورًا كبيرًا في الانطباع الأول والثقة بالنفس.
استشارة الطبيب هي الخطوة الأولى لتحديد ما إذا كنت بحاجة إلى ترميمات سنية تجميلية، حيث يساعد الفحص الدقيق على اختيار الحل الأنسب لحالتك وتحقيق أفضل النتائج الممكنة.

(خاتمة)
في الختام، تُعد الترميمات السنية التجميلية من الحلول المتقدمة التي تجمع بين العلاج والجمال، وتمنح المرضى فرصة لاستعادة ابتسامة صحية ومتناسقة. ومع التطور المستمر في تقنيات طب الأسنان، أصبحت هذه الإجراءات أكثر أمانًا وراحة وفعالية من أي وقت مضى.
اختيار المركز الطبي المناسب والطبيب المتخصص يُعد خطوة أساسية لضمان نجاح الترميمات والحصول على نتائج تدوم طويلًا. ومع الالتزام بالعناية اليومية والمتابعة الدورية، يمكن للترميمات السنية التجميلية أن تحافظ على جمال الابتسامة ووظيفة الأسنان لسنوات عديدة.
إذا كنت تبحث عن حل فعّال لمشكلات الأسنان أو ترغب في تحسين مظهر ابتسامتك، فإن الترميمات السنية التجميلية تمثل خيارًا مثاليًا يجمع بين الصحة والجمال، ويمنحك ثقة أكبر في كل ابتسامة.
أسئلة شائعة
ما المقصود بالترميمات السنية التجميلية؟
هي إجراءات علاجية تهدف إلى إصلاح الأسنان التالفة أو المتضررة مع تحسين شكلها ولونها، باستخدام مواد تجميلية تحاكي الأسنان الطبيعية مثل الحشوات التجميلية، التيجان، أو القشور الخزفية.
ما الحالات التي تحتاج إلى ترميمات سنية تجميلية؟
تُستخدم الترميمات السنية التجميلية في حالات:
تسوس الأسنان
الكسور أو الشروخ
تغير لون الأسنان
الفراغات بين الأسنان
تآكل الأسنان أو ضعف بنيتها
هل الترميمات السنية التجميلية مؤلمة؟
غالبًا لا، حيث يتم استخدام تقنيات حديثة وتخدير موضعي بسيط عند الحاجة، مما يجعل الإجراء مريحًا وآمنًا للمريض.
ما الفرق بين الحشوات التجميلية والحشوات التقليدية؟
الحشوات التجميلية مصنوعة من مواد بلون الأسنان الطبيعي، مما يجعلها غير ملحوظة وتمنح مظهرًا جماليًا أفضل مقارنة بالحشوات التقليدية المعدنية.
كم تدوم الترميمات السنية التجميلية؟
تعتمد مدة بقائها على نوع الترميم والعناية اليومية بالأسنان، لكنها غالبًا تدوم لسنوات طويلة مع الالتزام بتنظيف الأسنان الدوري وزيارات المتابعة المنتظمة.
هل تناسب الترميمات السنية التجميلية جميع الأعمار؟
نعم، تناسب معظم الفئات العمرية، بشرط أن تكون اللثة والأسنان في حالة صحية جيدة، ويحدد الطبيب الخطة المناسبة لكل حالة بعد الفحص.
هل تؤثر الترميمات التجميلية على وظيفة الأسنان؟
على العكس تمامًا، فهي تحسّن من وظيفة المضغ والنطق إلى جانب تحسين الشكل الجمالي للأسنان.
للتواصل:
- عبر الموقع الالكتروني : www.smilink-dental.com
- عبر البريد الالكتروني : [email protected]
- عبر ارقام التليفون فى عيادة المهندسين على : ( 01155558285 – 0233454547 ) .
- عبر ارقام التليفون فى عيادة الزقازيق على : ( 01140260002– 0552301633 ) .
- العنوان بعيادة المهندسين : ( 3 شارع وادى النيل – المهندسين – العجوزة ) .
- العنوان بعيادة الزقازيق : ( الزقازيق-امتداد طلبة عويضة-برج ريتاج بجوار ماركت أبو السعود أعلى معارض زهران-الدور الثاني ) .




